Cura delle carie iniziali: utilizzo dei Peptidi

Cura delle carie iniziali attraverso i Peptidi.

Articolo a cura della dott.ssa Anna Giulia Borgonzoni

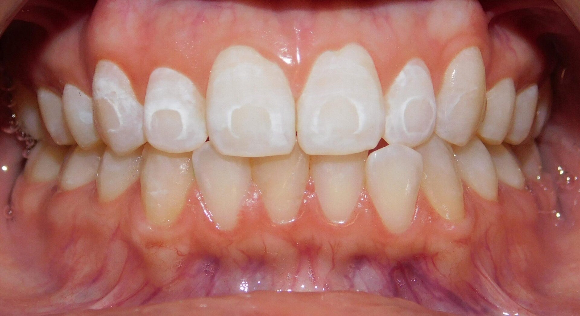
Di recente il dentista ha a disposizione un nuovo prodotto che permette di trattare le carie iniziali prima che diventino delle cavità e che sia quindi necessario eseguire delle otturazioni. Nella quotidianità succede che i dentisti, a volte, intercettino dei principi di carie e che prima di decidere di eseguire le otturazioni scelgano di tenere la zona controllata nel tempo valutandone l'evoluzione. Questo aspetto potrebbe sembrare marginale perché alla fine avere un'otturazione in bocca non è nulla né di strano né di grave ma in realtà si tratta sempre di una zona del dente "riparata" e che nel tempo ha la necessità di manutenzione e controlli. 

Ed è qui che ci viene in soccorso il PEPTIDE AUTOASSEMBLANTE che, nelle zone in cui è presente un inizio di carie con una porosità, è in grado di penetrare, riparare lo smalto e bloccare la carie con una percentuale di successo molto elevata.

Per potersi avvalere di una tecnologia così avanzata è ovvio che il dentista oppure l'igienista dentale devono avere la possibilità di intercettare la carie sia dei denti permanenti che dei denti da latte in un momento precoce ovvero prima che si formi il classico "buco". 

Questo significa che sono consigliabili sia i controlli periodici che le sedute di igiene orale professionale al fine di poter mettere in atto tutte le strategie possibili di prevenzione.

Per fare una diagnosi corretta, durante le visite all'interno del nostro ambulatorio, i professionisti utilizzano la tecnologia del DIAGNOCAM che senza i raggi X permette di individuare le carie tra i denti non visibili con lo specchietto e anche controllare le stesse zone curate con il Peptide nei mesi successivi al trattamento per verificarne o meno il successo. 

 

Dottoressa Anna Giulia Borgonzoni 

Studio Dentistico Associato Bandoli Cocchi Bologna  

Aggiungi commento

Commenti

Non ci sono ancora commenti.